@alexaseleno

نمونه درمان

با مشاهده این ویدیو، مراحل درمان ریشه تخصصی را از نزدیک ببینید!

در این ویدیو، مراحل درمان ریشه تخصصی با استفاده از میکروسکوپ دندانپزشکی نمایش داده شده است. میکروسکوپ با ایجاد بزرگنمایی و نور دقیق، امکان مشاهده جزئیات بسیار ظریف داخل کانال‌های ریشه را فراهم می‌کند و دقت درمان را به‌طور قابل توجهی افزایش می‌دهد.
استفاده از میکروسکوپ به شناسایی کانال‌های پنهان، پاک‌سازی کامل عفونت و انجام درمان‌های پیچیده مانند درمان کانال‌های کلسیفیه یا درمان‌های مجدد کمک می‌کند. این رویکرد باعث حفظ بافت سالم دندان، کاهش خطا و افزایش موفقیت درمان ریشه می‌شود.
هدف ما ارائه درمان ریشه‌ای دقیق، ایمن و قابل پیش‌بینی با بهره‌گیری از تکنولوژی‌های پیشرفته است.

مراحل درمان ریشه تخصصی دندان

درمان ریشه با بی‌حسی موضعی مؤثر آغاز می‌شود تا بیمار بدون درد درمان شود. سپس دندان با رابردم ایزوله شده و پس از ایجاد دسترسی دقیق، کانال‌های ریشه با کمک میکروسکوپ دندانپزشکی شناسایی می‌شوند. طول کانال‌ها با اپکس‌یاب الکترونیکی و رادیوگرافی دیجیتال تعیین می‌گردد.
در مرحله بعد، کانال‌ها با فایل‌های تخصصی پاک‌سازی و شکل‌دهی شده و هم‌زمان با محلول‌های ضدعفونی‌کننده شست‌وشو می‌شوند. در مطب ما، فعال‌سازی سونیک و اولتراسونیک محلول‌ها به افزایش اثربخشی ضدعفونی کمک می‌کند.
پس از آماده‌سازی کامل، کانال‌ها به‌صورت سه‌بعدی پر می‌شوند. در این مرحله از سیلرهای بیوسرامیک بر پایه MTA به‌صورت تزریقی استفاده می‌شود تا مهر و موم کامل و زیست‌سازگار ایجاد گردد. در پایان، دندان با ترمیم موقت بسته شده و برای ترمیم نهایی برنامه‌ریزی می‌شود.

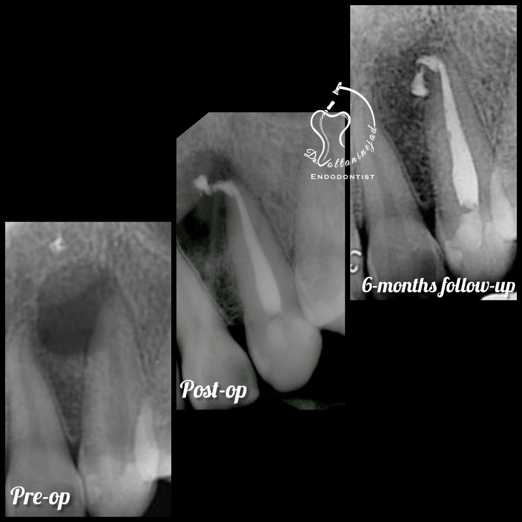
🔹 درمان ریشه دندان کانین با ضایعه وسیع

  • شرح کوتاه: بیمار با درد و تورم شدید مراجعه کرد. پس از درمان ریشه تخصصی، ضایعه استخوانی طی ۶ ماه به‌طور کامل بهبود یافت.
  • نتیجه: حفظ دندان و بازگشت عملکرد طبیعی.
درمان ریشه دندان کانین

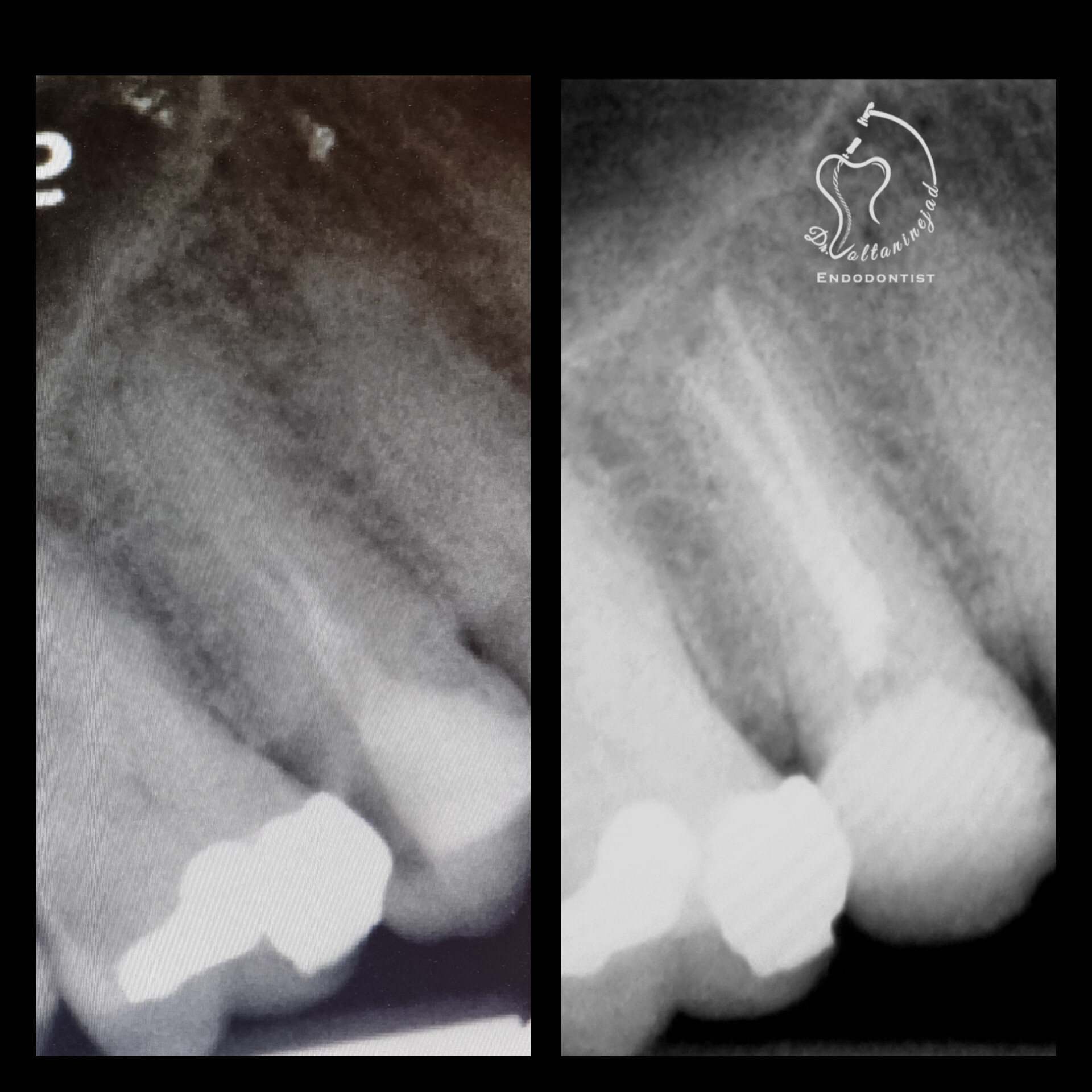
🔹 خارج کردن فایل شکسته از کانال

  • شرح کوتاه: بیمار با درمان ریشه نامناسب و فایل شکسته در کانال مراجعه کرد. فایل با میکروسکوپ خارج شد و درمان ریشه مجدد انجام شد.
  • نتیجه: رفع درد و حفظ دندان بدون نیاز به جراحی.
خارج کردن فایل شکسته

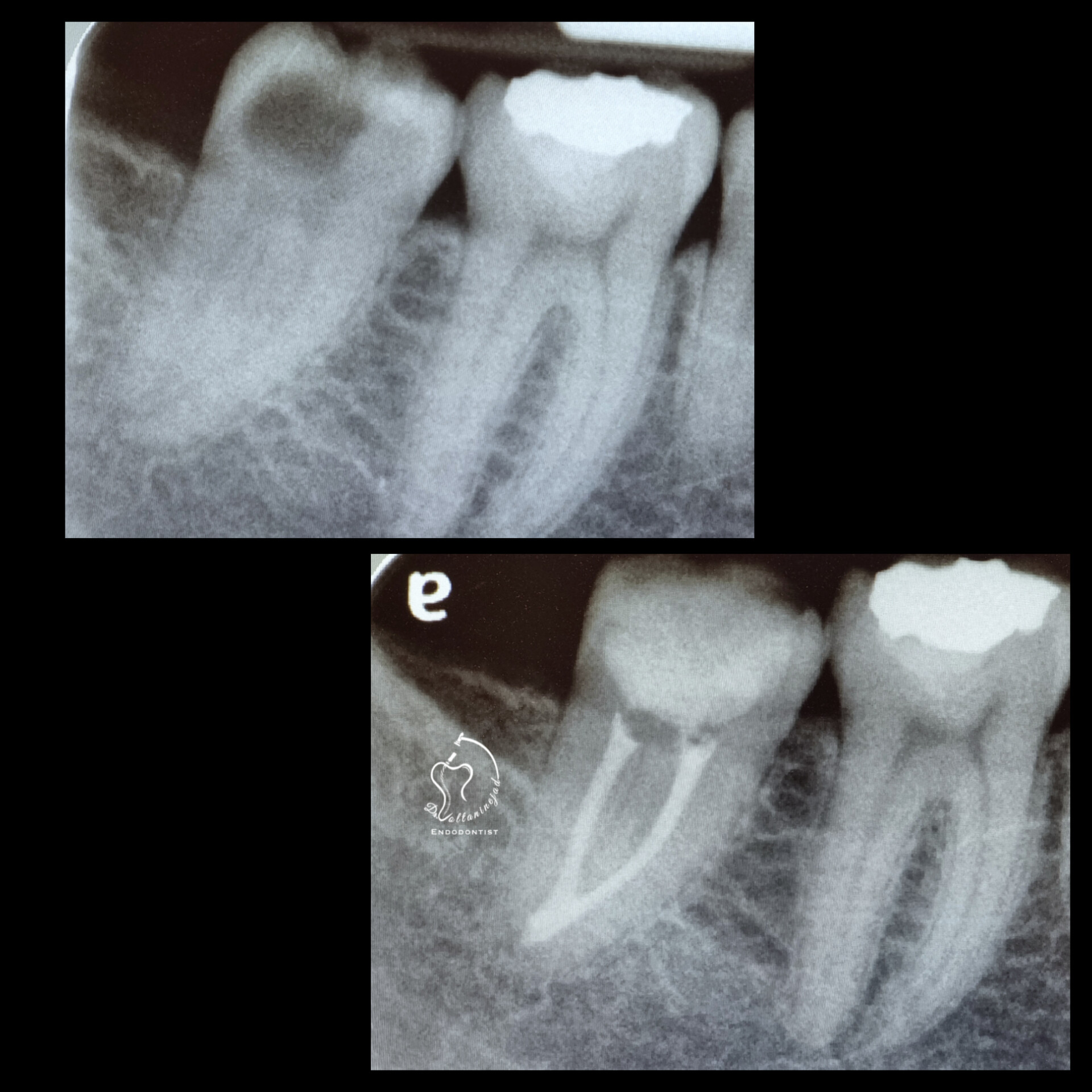
🔹 درمان ریشه مجدد (Retreatment) در دندان پرمولر

  • شرح کوتاه: درمان قبلی نامناسب و همراه با عفونت بود. درمان مجدد با میکروسکوپ انجام شد.
  • نتیجه: ترمیم ضایعه استخوانی و بازگرداندن دندان به شرایط سالم.
درمان ریشه مجدد پرمولر

🔹 درمان ریشه دندان دائمی نابالغ با انتهای ریشه باز و آبسه مزمن در کودک ۸ ساله

  • شرح کوتاه: کودک ۸ ساله با دندان دائمی نابالغ عفونی و آبسه مزمن مراجعه کرد که درمان ریشه تخصصی میکروسکوپی با موفقیت انجام شد.
  • نتیجه: حذف ضایعه مقاوم و حفظ دندان به مدت طولانی.
درمان ریشه دندان نابالغ

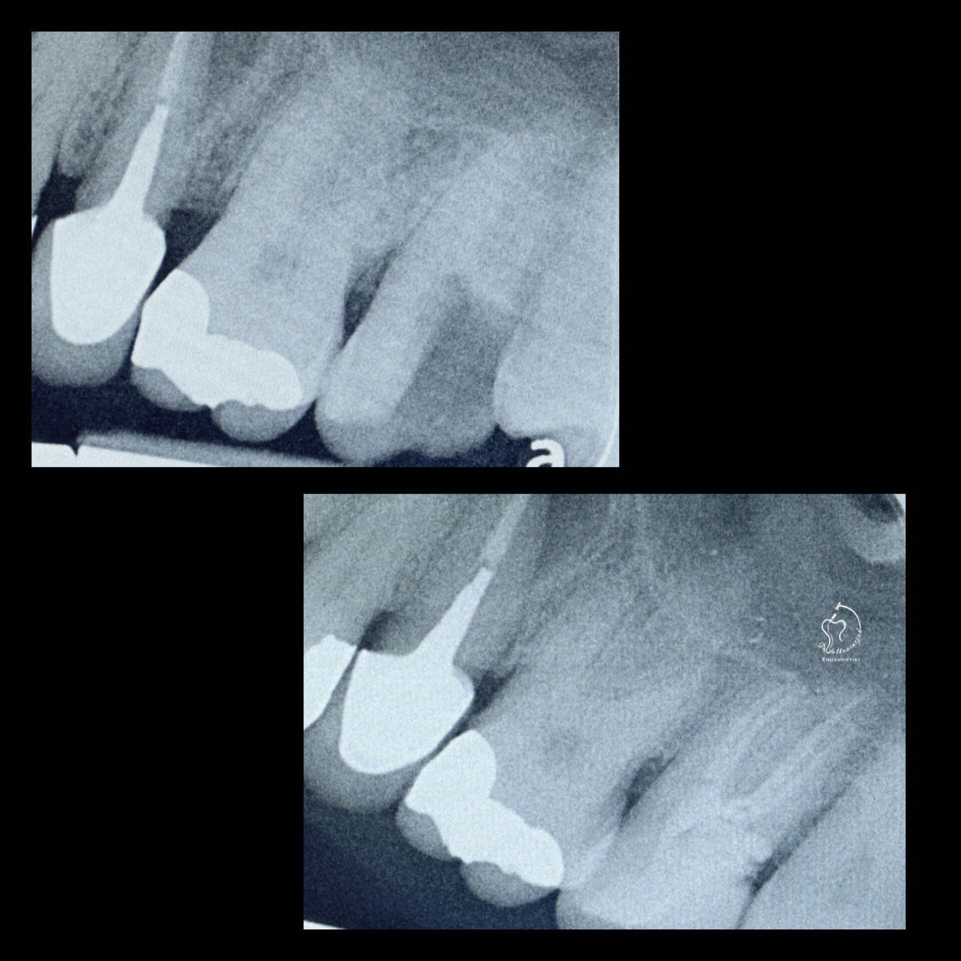
🔹 درمان ریشه دندان با آناتومی نادر

  • شرح کوتاه: بیمار ارجاعی با دندان دارای آنومالی (Gemination / دندان دوتایی) که درمان ریشه تخصصی میکروسکوپی با موفقیت انجام شد.
  • نتیجه: رفع درد و حفظ دندان به مدت طولانی.
درمان ریشه دندان نادر

پیام پایانی برای همکاران و بیماران

“بسیاری از دندان‌هایی که به نظر غیرقابل درمان می‌آیند، با روش‌های تخصصی اندودنتیک قابل نجات هستند.”

پیام پایانی