دکتر فاطمه سلطانینژاد
- دانشآموخته دندانپزشکی عمومی از دانشگاه علوم پزشکی شهید بهشتی
- بورد تخصصی درمان ریشه (اندودانتیکس) از دانشگاه علوم پزشکی شهید بهشتی
- عضو سابق هیئت علمی دانشگاه علوم پزشکی شهید بهشتی
- عضو انجمن اندودنتیستهای ایران
- نویسنده و همکار پژوهشی در مقالات علمی چاپشده در مجلات بینالمللی ISI و Pubmed
- سابقه سخنرانی و مدیریت پنل در کنگرههای علمی بین المللی
- حوزههای تمرکز درمانی: درمان ریشه دندانهای پیچیده و چندکاناله، درمان مجدد ریشه دندان، مدیریت دندانهای کلسیفیه و دارای فایل شکسته، درمان دندانهای آسیبدیده بر اثر تروما، درمان ریشه دندانهای دائمی کودکان، انجام درمانها با بهرهگیری از میکروسکوپ و تکنولوژیهای پیشرفته اندودنتیک
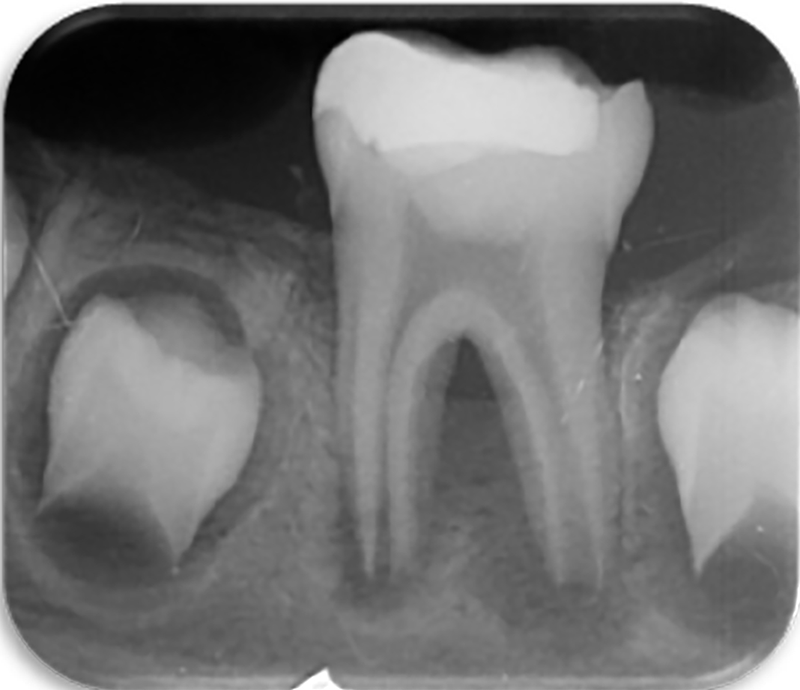
نمونه درمانها
چرا نمونه درمانها مهم هستند؟
مشاهده موارد درمان شده به بیماران اطمینان میدهد که حتی دندانهای آسیبدیده و پیچیده نیز با درمان تخصصی قابل حفظ هستند. همچنین این بخش فرصتی برای همکاران دندانپزشک فراهم میکند تا با روند و نتایج درمانهای پیچیده آشنا شوند.
کلیه خدمات تخصصی ریشه دندان

درمان ریشه دندانهای دائمی کودکان
درمان ریشه دندان های دائمی نابالغ با انتهای ریشه های باز که باید به صورت تخصصی مدیریت شوند زیرا در رشد فک و سلامت کودک در آینده تاثیر زیادی دارند.

درمان دندانهای آسیبدیده بر اثر ضربه (تروما)
مدیریت تخصصی دندانهای ضربه خورده یا شکسته در کودکان و بزرگسالان.

درمان دندانهای کلسیفیه، پیچیده و دارای فایل های شکسته
مدیریت موارد دشوار با استفاده از میکروسکوپ و ابزارهای پیشرفته، همچنین مدیریت و خارجسازی فایلهای باقیمانده در کانال که مانع درمان صحیح میشوند.
انتخابی مطمئن برای بیماران و همکاران ارجاع دهنده
در مرکز تخصصی دندانپزشکی دکتر فاطمه سلطانی نژاد، هدف اصلی حفظ دندانهای طبیعی بیماران است. درمانهای اندودنتیک با بهرهگیری از دانش روز، تجربه تخصصی و تجهیزات پیشرفته مانند میکروسکوپ دندانپزشکی و تصویربرداری CBCT انجام میشوند.
✅ درمانها با کمترین درد و بیشترین دقت در محیطی آرام انجام میشوند.
✅ هدف ما نجات دندان و جلوگیری از کشیدن آن است.
✅ تجربه علمی و بالینی ما تضمینکننده کیفیت درمان شماست.
ارائه خدمات تخصصی درمان ریشه با بهترین کیفیت
تشخیص دقیق و درمان استاندارد در اندودنتیکس بدون بهرهگیری از تکنولوژیهای روز دنیا امکانپذیر نیست. در این مرکز مجموعهای از تجهیزات مدرن بهکار گرفته شده است تا درمان در محیطی ایمن، کمدرد و با بالاترین دقت انجام شود. یکی از این امکانات، رادیوگرافی دیجیتال با دوز بسیار پایین اشعه است. این فناوری نسبت به رادیوگرافیهای قدیمی میزان اشعه را تا حد قابلتوجهی کاهش میدهد، در عین حال تصویری بسیار واضح و دقیق ارائه میکند. تصاویر دیجیتال بلافاصله قابل مشاهده هستند و امکان بزرگنمایی، بررسی ضایعات و ارزیابی طول کانال با دقت بالا را فراهم میکنند. برای بیمارانی که نگران درد تزریق هستند، بیحسی دیجیتال یک گزینه مناسب است؛ سیستمی که تزریق آن با کنترل کامپیوتری انجام میشود و به دلیل تنظیم دقیق فشار و حجم تزریق، یکی از کمدردترین روشهای بیحسی محسوب میشود. این تکنولوژی بهویژه برای بیماران مضطرب یا دندانهای با التهاب بالا بسیار مؤثر است. برای مرحله پرکردن کانال، از روش ترموپلاستیک سهبعدی استفاده میکنیم تا سیل دقیقتری در کانالها و انشعابات فرعی ایجاد شود. همچنین تمامی محلولهای شستشو با سیستمهای سونیک و اولتراسونیک فعالسازی میشوند؛ روشی که اثربخشی شستشو را چند برابر میکند و باعث حذف کاملتر باکتریها و دبریها میشود. این تکنولوژیها سهم بزرگی در موفقیت نهایی درمان و ماندگاری آن در بلندمدت دارند. استفاده از میکروسکوپ دندانپزشکی، رادیوگرافی دیجیتال کمدوز، بیحسی دیجیتال، تکنیکهای گرم برای پرکردن کانال، فعالسازی پیشرفته محلولهای شستشو و بسیاری از امکانات و تجهیزات تخصصی دیگر باعث شده است که درمانهای اندودنتیک در مطب دکتر سلطانی نژاد با بالاترین استانداردهای جهانی، بیشترین دقت و کمترین ناراحتی برای بیمار انجام شود.
از اولتراسونیک کلینر تا اتوکلاو کلاس B درمان ریشه زمانی واقعاً موفق است که علاوه بر دقت تکنیکی، در محیطی کاملاً ایمن و استریل انجام شود. به همین دلیل در مطب ما پروتکلهای کنترل عفونت با تجهیزات پیشرفته و استانداردهای بینالمللی اجرا میشود. روند استریلیزاسیون ابزار از همان لحظه خروج از دهان بیمار آغاز میگردد. ابزارها ابتدا در محلولهای آنزیمی قرار میگیرند تا هرگونه آلودگی اولیه تجزیه شود. سپس وارد مرحلهای میشوند که مهمترین قسمت است: شستشو با دستگاه اولتراسونیک کلینر. اولتراسونیک کلینر با استفاده از امواج کاویتاسیون، ذرات آلودگی را از ریزترین شیارهای ابزار خارج میکند؛ کاری که با شستشوی دستی به هیچوجه قابل انجام نیست. این مرحله برای ابزارهای ظریف اندودنتیک اهمیت حیاتی دارد زیرا پیچیدگی و ظرافتشان نیازمند پاکسازی عمیق و دقیق است. پس از پاکسازی کامل، ابزارها در پکهای استریل با نشانگرهای شیمیایی بستهبندی میشوند و وارد اتوکلاو کلاس B میگردند؛ دستگاهی که کاملترین و قدرتمندترین نوع اتوکلاو در مطبهای تخصصی محسوب میشود. اتوکلاو کلاس B با ایجاد وکیوم قدرتمند، بخار را تا عمیقترین بخش ابزارهای توخالی و ظریف وارد میکند و استریل کامل را تضمین میکند. برای اطمینان از عملکرد صحیح دستگاه، در مطب ما تستهای دورهای مانند تست اسپور و تست فشار و دما بهطور منظم انجام میشود. به این ترتیب، استریلیزاسیون ابزار در مطب ما تنها یک مرحله ساده نیست، بلکه یک سیستم چندلایه، دقیق و استاندارد است که هدف آن ایجاد بیشترین ایمنی و اطمینان خاطر برای بیماران است.
درمان ریشه از ظریفترین و دقیقترین درمانهای دندانپزشکی است. بسیاری از چالشهای درمانی، مانند کانالهای پنهان، کلسیفیکاسیونها، انحنای زیاد ریشه یا باقیماندن بخشهایی از دبری و بافت نکروتیک، تنها زمانی قابل مدیریت هستند که درمان با بزرگنمایی و نور مناسب انجام شود. در این مرکز تمام درمانهای اندودنتیک تحت میکروسکوپ دندانپزشکی تخصصی انجام میشود؛ ابزاری که امروزه استاندارد طلایی در درمانهای پیشرفته اندودنتیک محسوب میشود. استفاده از میکروسکوپ امکان مشاهده جزئیاتی را فراهم میکند که با چشم غیرمسلح قابل دیدن نیستند. بهویژه در دندانهایی که سابقه درمان قبلی، کانالهای میسینگ یا کلسیفیه دارند، میکروسکوپ به ما اجازه میدهد ورودی کانالها، انشعابات ریز و مسیرهای پیچیده را با دقتی بسیار بالا شناسایی کنیم. بسیاری از اقداماتی که بدون بزرگنمایی ریسک بالایی دارند،مانند خارج کردن فایل شکسته، مدیریت پرفوریشن، اصلاح ledge یا یافتن کانالهای پنهان،با میکروسکوپ بهصورت ایمنتر و قابلاعتماد انجام میشوند. میکروسکوپ همچنین کیفیت شستشو و پرکردن کانال را افزایش میدهد. هنگامی که همه مراحل با دید مستقیم و نور کوآکسیال انجام میشود، کنترل اپکسیفیکیشن، حذف دبری و obturation نهایی بسیار دقیقتر صورت میگیرد. همین دقت بالا احتمال نشت، باقیماندن باکتریها یا شکست درمان در آینده را کاهش میدهد. به این ترتیب، میکروسکوپ در مطب ما تنها یک ابزار کمکی نیست؛ بلکه بخشی جداییناپذیر از ارائه درمانی ایمن، پیشرفته و مبتنی بر استانداردهای روز دنیاست.






